Sán lợn
Có nhiều dạng sán dây (sán dải), nhưng chỉ ba trong số chúng lây
nhiễm trực tiếp ở não bộ con người. Dạng sán dây có tên khoa học Taenia Solium
xuất hiện trong cơ thể người theo hai con đường. Ăn thịt lợn nấu chưa chín kỹ
(từ con lợn nhiễm sán) dẫn đến tình trạng nhiễm sán trong ruột, trong khi dạng
ấu trùng tấn công hệ thần kinh và lây nhiễm cho nhiều mô khác thông qua con
đường tiếp xúc trực tiếp với lợn hoặc người nhiễm. Khi ấu trùng xâm nhập hệ
thần kinh và tiến vào não, nó có thể gây ra chứng động kinh.
Nhiễm sán xuất phát từ điều kiện vệ sinh yếu kém ở các khu vực
dân cư và môi trường. Khi không rửa tay thường xuyên, con người có thể vô tình
tiếp xúc trực tiếp với trứng sán. "Trên thực tế, con người có thể tự khiến
mình lây nhiễm. Tự nhiễm là tình trạng khá phổ biến", chuyên gia Helena
Helmby từ trung tâm nghiên cứu vệ sinh và y học nhiệt đới tại London, Anh, cho
hay.
Theo Tổ chức Y tế Thế giới (WHO), sán dây xuất hiện phổ biến ở
khu vực Mỹ Latinh, châu Phi và châu Á.

|
Sán dây Taenia Solium. Ảnh: CNN |
Sán Spirometra
Năm 2013, các bác sĩ ở Anh phát hiện một dạng sán lạ di chuyển
bên trong não bộ của một bệnh nhân. Sau nhiều lần chụp cắt lớp, họ phát hiện ra
vật thể hình tròn kỳ lạ bên trong não của người đàn ông gốc Trung Quốc. Sán đã sống ký sinh
trong đầu của ông trong 4 năm.
"Nó di chuyển từ nửa não bên này sang nửa não bên
kia", bác sĩ Effrossyni Gkrania-Klotsas nói. Đây là dạng sán có thể di chuyển
khắp cơ thể người như mắt, các mô hay phổ biến nhất là não.
Bệnh nhân từng quay về Trung Quốc trong thời gian gần đây. 4 năm
trước đó, ông có những triệu chứng đầu tiên như đau đầu, nhưng được chữa trị
như bệnh lao. Khi quay lại, người này có các triệu chứng mới, khi sán tấn công
vào khu vực khác trong não bộ, gây co giật và đau ở chân. Các biểu hiện đều
liên quan dạng sán dây hiếm gặp có tên khoa học là Spirometra erinaceieuropaei.
Vì chưa có thuốc điều trị hiệu quả, các bác sĩ nhanh chóng phẫu thuật để loại
bỏ chúng.
Theo con số thống kê, có khoảng 300 trường hợp nhiễm sán
Spirometra được ghi nhận trong giai đoạn 1953-2013, phổ biến ở các vùng nông
thôn của châu Á. Đây là dạng sán mà con người ít biết đến, được nhận định là
khá bí ẩn và có vòng đời phức tạp.
Dạng trưởng thành của sán dây Spirometra chỉ xuất hiện trong
ruột non của mèo và chó, nhưng chúng được thải ra ngoài và tồn tại trong phân,
sống trong các nguồn nước. Ấu trùng có thể ở lại trong cơ thể động vật giáp xác
nhỏ hoặc ếch và rắn. Ở giai đoạn này, chúng xâm nhập vào cơ thể người qua đường
tiêu hóa hoặc tiếp xúc trực tiếp với động vật nhiễm sán. Ấu trùng tạo thành
nang bên trong não hoặc các bộ phận khác, kéo theo hậu quả là gây tổn thương
mô, mù mắt, liệt và thậm chí tử vong.

|
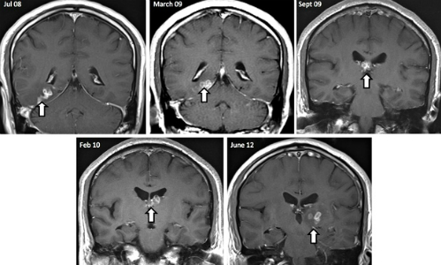
Ảnh chụp scan cho
thấy sự di chuyển của con sán trong đầu bệnh nhân qua thời gian (mũi tên).
Ảnh: CNN |
Nghiên cứu biện pháp
Nhiễm trùng sán lợn là tình trạng phổ biến, nhưng có thể được
điều trị bằng thuốc giun sán. Trong khi đó phương pháp xử lý Spirometra hiện
nay chỉ có thể là phẫu thuật.
Tuy nhiên theo nhóm chuyên gia di truyền học của Hayley Bennett,
một số loại thuốc dùng để điều trị bệnh sán máng có thể có tác dụng. Thuốc chữa
ung thư cũng được coi là giải pháp tiềm năng. Bằng cách nghiên cứu các mẫu sán,
lấy từ cơ thể bệnh nhân nhiễm bệnh, và giải mã gene của chúng, các nhà khoa học
hy vọng có thể chẩn đoán và đưa ra phương pháp điều trị trong tương lai.
Hoạt động du lịch và giao thương hàng hóa thực phẩm là những mối
lo ngại có thể làm gia tăng tỷ lệ nhiễm sán ở người. Giới chuyên gia cảnh báo
rằng khi con người thực hiện các biện pháp tự chăm sóc bản thân và nâng cao
nhận thức, tỷ lệ nhiễm sán có thể được kiểm soát.
Anh Hoàng (theo CNN)

English
Vietnamese







